Doppler претставува технологија која во медицината се користи за испитување на протокот во крвните садови. Во бременоста доплерот се користи за следење на работата на срцето на плодот и на протокот во феталните крвни садови.

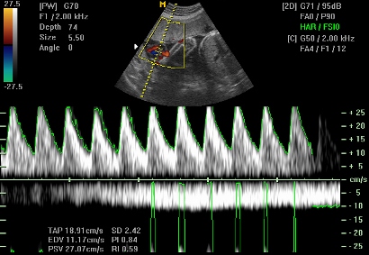
Со доплер ултразвучниот преглед, срцевата акција на бебето може да се регистрира уште во 6. гестациска недела, а најдоцна до крајот на седмата недела. Доколку се регистрира срцева работа во овој период, за понатаму постои голема веројатност дека ќе имате нормална бременост. Во шестата недела бебешкото срце работи со фрекфенција од околу 95 – 110 удари во минута, а во следните 3 недели фрекфенцијата расте на 150 – 170 удари во минута. Мерењето на срцевата работа на плодот дава податоци за неговиот развој и може да предупреди за можни компликации во текот на бременоста. Покрај срцевата работа, со доплер се испитува и папочната артерија, со мерење на протокот и отпорот во артеријата која се наоѓа во папочната врвка. Овие параметри се показател за уреден раст на плодот и нормална функција на постелката (плацента). Се испитуваат уште и големите крвни садови (аортата и шупливите вени) и мозочните артерии на плодот.
Вообичаено доплерот е инкорпориран во ехо апаратите, така што не мора да се преместувате за преглед со доплер. Доплер прегледот може да се врши со абдоминална или со вагинална сонда. На странскиот пазар се присутни и портабл апарати со кои мајката може сама да го слуша срцето на своето бебе. Погледнете го видеото и слушнете како звучи срцето на бебето на доплер.









