Амниоцентеза претставува дијагностичка метода која дава важни информации за состојбата на плодот и можните генетски пореметувања. Процедурата опфаќа боцкање на стомачниот ѕид на бремената жена и земање примерок од околуплодовата вода. Заради поголема прецизност и безбедно боцкање во текот на интервенцијата движењето на иглата се следи со ултразвук (ехо).

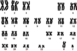
По амниоцентезата следи испитување на составот на околуплодовата вода и испитување на клетките кои се наоѓаат во неа, а кои потекнуваат од кожата на фетусот. Со испитување на клетките се добиваат информации за генетскиот материјал (хромозомите) на фетусот и се потврдува или отфрла постоење на хромозомски аберации ( пореметувања) како што е Down-овиот синдром. Хромозомскиот приказ наречен кариотип (фотографија долу) може да послужи и за предвремено утврдување на полот на бебето.
Амниоцентезата вообичаено се прави кај бремените жени постари од 35 години поради зголемениот ризик од раѓање на бебе со некоја хромозомска аберација. Со амниоцентезата се исклучува присуството на Down-ов синдром, чија зачестеност е директно поврзана со возраста на мајката.

Амниоцентеза се спроведува и кај помладите трудници кај кои комбинираниот ултразвучен и биохемиски скрининг покажува определена веројатност за појава на Down-ов синдром. Со амниоцентезата сомневањето се разрешува и доколку има хромозомско пореметување се спроведуваат соодветни мерки.
Како и другите инвазивни методи и амниоцентезата со себе носи определен минимален ризик. Кај околу 1% од изведените процедури постои ризик од спонтан абортус по направена амниоцентеза. Употребата на ултразвукот во денешно време значително го намалува ризикот од крварење, а постои и минимален ризик од инфекција при боцкањето.
Сепак, амниоцентезата има непроценливо значење за откривање и навремено прекинување на бременоста кај која е утврдено хромозомско пореметување.









