На првиот преглед се потврдува бременоста. Овој преглед се извршува околу една недела по изостанокот на менструацијата. По забележувањето на отсуството на менструација, ако очекува бебе жената најчесто купува тест за утврдување на бременоста од аптека, со што релативно точно се дефинира дали станува збор за бременост. На првиот преглед на гинеколог се потврдува или отфрла бременоста.


За овој преглед пожелно е да се направи и лабораториска анализа на крвта и урината, како и да се испитаат основните биохемиски маркери. Резултатот од оваа анализа ќе даде слика за Вашата општа здравствена состојба. Прегледот опфаќа и мерење на телесната тежина и висината на крвниот притисок. Понатаму, при секоја посета се води евиденција за промените на притисокот и телесната тежина.

На овој преглед се утврдува првиот ден од последната менструација и веројатниот термин за породување (ВТП). Според овие податоци понатаму се следи бременоста и растот и развојот на бебето во определена гестациска недела.
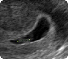
Ултразвук
Ултразвучниот преглед во 6. недела опфаќа приказ на матката, мерење на должината на ембрионот (CRL) и мерење на жолчната кеса (Yolk sac). На сликите е прикажано и жолтото тело кое настанува од прснатиот фоликул во јајникот и кое има хормонска улога во одржување на бременоста. Должината на ембрионот (CRL) во овој период изнесува околу 5,5 mm.









