Мерењето на растот на бебето во текот на бременоста се врши со помош на ултразвук. При прегледот на ехо се врши мерење на одредени стандардни мерки кои даваат најдобар приказ за состојбата на плодот.
Во раната бременост со мерење на овие мерки се утврдува гестациската старост на плодот. Кај пациентките кои не го знаат датумот на последната менструација, овие мерки треба да се измерат што порано за да се утврди веројатниот термин за породување (ВТП). Подоцна во бременоста со овие мерки се одредува големината на плодот и се следи неговиот раст. Еве некои од позначајните мерки кои се испитуваат кај плодот во текот на бременоста:

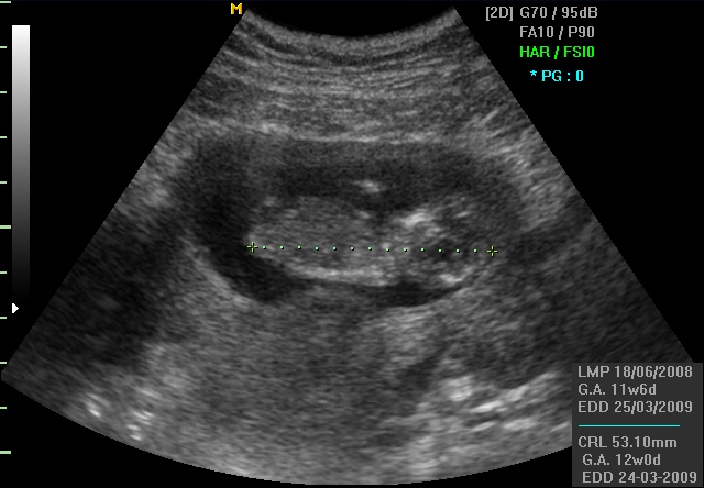
CRL (Crown-rump length) претставува должината на плодот која се мери во периодот помеѓу 7. и 13. гестациска недела. Оваа мерка во раната бременост дава релативно добра прогноза за гестациската старост на плодот и ВТП.

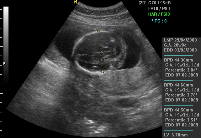
BPD (Biparietal diameter) претставува пречник на гавата на бебето, и се мери по 13. недела. Бидејќи бебиња со иста гестациска старост може да имаат различен дијаметар на главчето, оваа мерка не е многу валидна за одредување на староста на плодот.

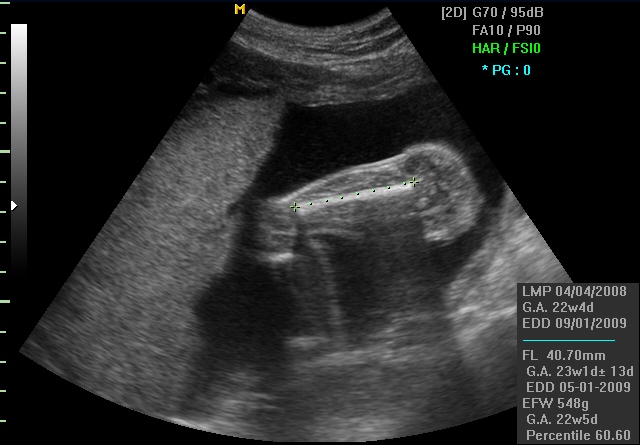
FL (Femur length) ја претставува должината на бутната коска, најдолгата коска во телото на бебето. На овој начин се следи растот на бебето во должина.

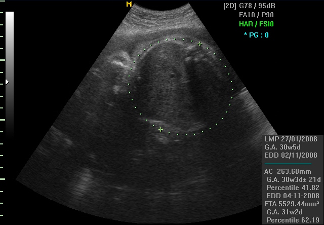
AC (Abdominal circumference) е мерка на обемот на стомачето на бебето. Таа се користи за мерење на растот на бебето, за одредување на тежината и големината на плодот.
Од сите овие мерки може да се пресмета приближната тежина на плодот во дадениот момент.
Голема благодарност за позајмените ултразвучни слики до Др. Оливера Арнаудова (ПЗУ Деметра Медикал - Скопје)









