Следниот преглед во бременоста се врши во периодот околу 12. недела. Како и другите прегледи и овој е значаен и задолжителен, а опфаќа и рутинска лабораториска контрола. Во текот на оваа посета се прави скрининг за постоење на определени аномалии во развојот и затоа на овој преглед треба да се дојде навреме, т.е. не смее да се пропушти.
Во текот на овој преглед се мерат неколку параметри значајни за правилниот развој на бебето.
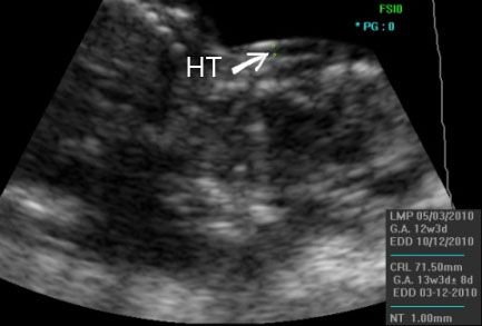
Нухална транслуценца (НТ) или дебелина на кожниот набор на задната страна на вратот на бебето е параметар кој се смета за значаен показател на присуството или отсуството на Down-овиот синдром. Вообичаено дебелината на наборот изнесува околу 1 mm. Поголема дебелина на наборот може да означува и поголема веројатност за присуство на Down-ов синдром, па во тој случај треба да се направат некои дополнителни испитувања. Како маркер за правилниот развој на бебето се испитува и присуството на носната коска на лицето.
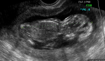
Покрај овие параметри, на овој преглед се испитува и мотилитетот (подвижноста) на бебето, се испитува растот, се земаат вообичаените мерки и се проверува дали големината на бебето соодветствува со неговата гестациска старост. Должината на бебето (CRL) изнесува околу 50 – 60 mm.
Мајката сеуште не ги чувствува движењата на бебето, но при поставување на сондата веднаш се забележува дека бебето интензивно мрда. Преку прегледите на УЗ мајката постепено станува свесна за постоењето на своето бебе, и веќе значајно се приврзува за него. Исто така, во овој период најчесто се поставува и прашањето за полот. Бебето е сеуште многу мало, па прогнозата на полот не е сигурна.
Во продолжение Ви презентираме неколку УЗ слики од прегледот во 12. недела.












