Покрај редовните прегледи за следење на растот и развојот на бебето, со ултразвукот се постигнува уште една цел. Се постигнува и одреден степен на интимно зближување на мајката со своето бебе. Таа го гледа бебето и станува свесна за неговото постоење, движење, присуство. Бремената жена станува посигурна во себе и во своите способности да биде добра мајка во текот на бременоста и кога бебето ќе се роди.

Ембрионот во најраните фази на бременоста

Профил на бебето во подоцнежна бременост

3D приказ на лицето на бебето

Уште едно заспано бебенце во стомакот на мама (3D)

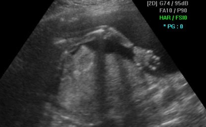
Раката на бебето во 2D ултразвучна техника

Стапалото на бебето

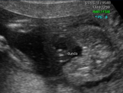
Потврда на женско бебе

Потврда на машко бебе

Еве уште едно момченце
Благодарност за позајмените ултразвучни слики на Др. Оливера Арнаудова (ПЗУ Деметра Медикал - Скопје)









