Прегледот во 20. недела од бременоста е значаен поради тоа што бебето е веќе поголемо, јасно се диференцирани анатомските структури и органите, па можно е потемелно испитување на градбата и развојот на плодот.
Овој преглед е значаен и поради тоа што сега со голема сигурност може да се утврди полот на бебето, факт кој носи еден нов момент во перцепцијата на бременоста за мајката, за партнерот и за поблискиот круг на семејството.
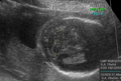
Прегледот на ултразвук во оваа фаза од бременоста најпрво опфаќа мерење на обемот и пречникот на главчето на бебето. Потоа се врши мерење на мозочните структури на бебето, што е особено значајно за откривање на некои тешки вродени малформации на централниот нервен систем. На оваа контрола се мери обемот на стомачето (AC), должината на бутната коска (FL) и должината на коската на надлактицата (хумерус). Овие мерки и нивниот меѓусебен однос даваат значајни информации за растот на бебето. Потоа внимателно се следи континуитетот на рбетниот столб, со цел исклучување на вродените малформации на рбетот (spina bifida). Понатаму може да се прикажат и внатрешните органи, како што е желудникот, мочниот меур и срцето на бебето, кое веќе има јасен четирикоморен пресек со визуелизација на двете предкомори и двете комори. Со доплер се испитува работата на срцето и протокот на крв во папочната врвка. На овој преглед се прикажува и полот на бебето, со доста јасна диференцијација на машките или женските надворешни полови карактеристики.

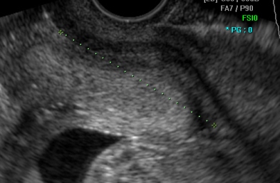
Како и на другите прегледи, и сега се испитува поставеноста на плацентата и папочната врвка. Се испитува количеството на плодова вода во матката, кое дава значајни информации за состојбата на плодот и неговиот правилен развој. На овој преглед со вагинална сонда се испитува должината на грлото на матката. Овој преглед може да исклучи или да открие инсуфициенција (слабост) на грлото на матката, кое може да попушти под тежината на бебето кое постојано расте. Доколку се утврди скратување, во консултација со гинекологот може да се изврши серклаж. Серклажот претставува гинеколошка процедура на зајакнување на грлото на матката.
И прегледот во 20. недела е придружен со рутинска лабораториска анализа, вклучувајќи мерење на серумското железо, мерење на тежината, височината и крвниот притисок. Доколку се јави анемија или слабокрвност, следи совет за исхрана или фармацевтски препарат на железо. Доколку се утврди зголемување на шеќерот во крвта, може да станува збор за гестациски дијебет. Ова е ретко, но значајно пореметување кое бара сериозен пристап. Вашиот доктор ќе Ви препорача диета и повторно испитување на шеќерот по неколку дена. Во текот на 24. – 28. недела рутински или по потреба се врши ОГТ тест (орален глукоза толеранс тест) со кој се испитува реакцијата на организмот при внесување на шеќер.

Пред или непосредно по оваа контрола, мајката веќе почнува да го чувствува движењето на бебето, најпрво како нежни скокотливи сензации, а подоцна како вистински удари кои се чувствуваат и однадвор. Бебето расте и започнува позначајно зголемување на обемот на стомакот. Мајката се повеќе се приврзува за своето бебе и веќе може да го следни неговиот циклус на будност и спиење.










